تعديل العمود الفقري لمريضة ستينية بعملية نوعية

أعلن فريق طبي في مستشفى الكفيل التخصصي بكربلاء، نجاحه بعملية تعديل جنف العمود الفقري لمريضة ستينية.

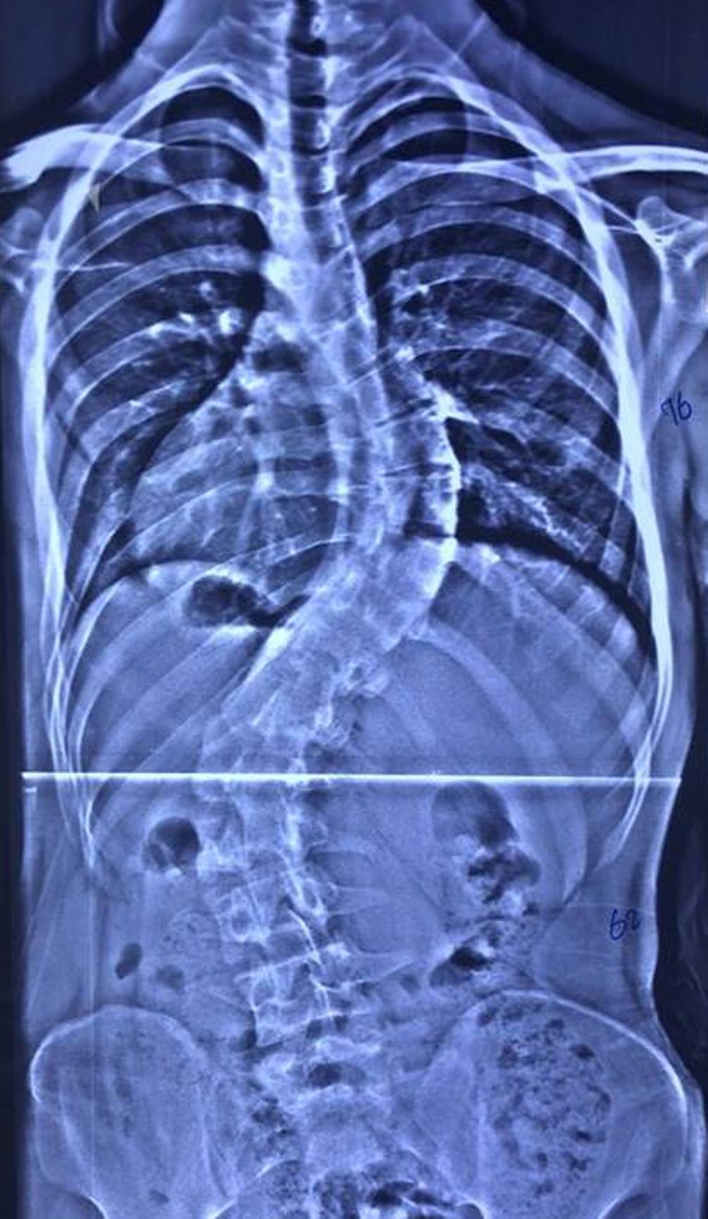
وقال إختصاصي جراحة العمود الفقري بالمستشفى الطبيب اللبناني، دكتور عامر السبعلي، في حديث صحافي، إن فريقنا الطبي نجح بعملية تعديل جنف العمود الفقري (إنحراف وتحدب العمود الفقري) لمريضة تبلغ من العمر (63) عاما، مبيناً إن الجنف بنسبة (35%)، وإن المريضة تعاني من تضييق في مجرى الدودة يرافقه آلام حادة جعلتها غير قادرة على ممارسة حياتها بشكل طبيعي.

وأشار السبعلي إلى، إن العملية إستغرقت خمس ساعات، بمساعدة فريق طبي متميز وأطباء تخدير ماهرين، فضلاً عن وجود التقنيات الحديثة التي شجعتنا على إجراء العملية، مؤكداً إن العملية كانت ناجحة والمريضة أستعادت إستقامة ظهره عقبها وهي الآن تتمتع بصحة جيدة.